hth登录官网骨伤科是淮海经济区最大的中西医结合骨伤科诊疗中心,集临床、教学、科研为一体。拥有中西医结合骨创伤专科、脊柱专科、关节专科、中医综合治疗专科。采取中医、西医及中西医结合模式诊治骨伤科常见病、多发病及各种疑难杂症。科室现有医生 27 人,高级职称13人,中级职称8人,初级职称6人,其中博士(含在读)5 人,硕士 14 人。 全科人员本科及以上学历达 100%; 硕士学位及以上人数达77.3%;高级职称人员比例50.0%。在新院区,骨伤科拥有3个病区,设创伤,脊柱,关节及中医综合治疗专业,床位135张。开设创伤,脊柱,关节,中医正骨整脊,中医综合治疗专家门诊,骨伤科普通门诊,创伤科急诊。开设肩痛,膝关节骨性关节炎,骨质疏松、颈性头痛头晕,糖尿病足,促骨折愈合,骨不连骨髓炎等专病门诊。脊柱、关节、创伤、中医综合治疗等各亚专科建立了合理的人才梯队,实现老中青结合,发挥各自优势,共同推动科室发展。
骨伤科为上海九院骨科联盟单位,江苏省中西医结合骨伤专业委员会副主委单位、徐州市骨科学会副主任委员单位,徐州市中医骨伤专业委员会主委单位。江苏省UBE联盟会员单位,徐州市创伤联盟会员单位。为徐州市交通事故 120、110联动定点单位,24 小时急诊接诊。承担省市多项科研课题、还承担南京中医药大学七年制、本科生的大量教学工作及实习生带教工作。
hth登录官网骨伤科始终贯彻中西医结合的诊疗模式,突出中医特色。最突出的特点是根据我科多位中医专家的临床经验总结,在中医经方的基础上,形成具有我科特色的中医药方剂,并实际应用于门诊诊疗和病房诊疗。比如颈椎病方,慢性腰痛方,骨科外洗方,骨科术后方,骨折早期方,骨折中期方,骨折后期方,关节炎方,肩周炎方等系列方剂20种,广泛应用于临床,收到良好的治疗效果。
中医外治疗法是我科另外一项突出特色,我科开展中医正骨整脊门诊,对于急性斜颈;寰枢关节错位;钩椎关节紊乱症;急性颈椎间盘突出症;颈椎椎曲异常综合征(颈椎失稳症);颈椎管狭窄症;颈腰椎间盘病;胸背肌筋膜炎;腰椎后关节错缝症;颈脊源性血压异常症;青少年特发性脊柱侧弯症临床疗效优良。闭合复位小夹板外固定方法尽显中医优势:既起固定作用,又对伤肢软组织无损伤,保持正常血运,不影响骨折正常愈合;防止伤肢再移位,能避免不利于伤肢愈合的有害应力;对伤肢各关节约束少,为早期功能锻炼创造条件;对骨折整复后的残留移位,通过压垫和小夹板固定,肌肉舒缩,可有矫正作用,完美遵循中医骨伤治疗理论。外敷外治尽显中医风采。我科采金黄膏、金黄散(外用)治疗膝关节滑膜炎,无名肢体肿痛,肩肘腕踝关节肿痛疗效显著。生肌散生肌膏辩证外敷治疗创面不愈合及创面感染疗效显著。接骨甲丹,接骨乙丹辨证贴敷促进骨折愈合。活血膏,活血消肿膏用于肢体肿痛,关节肿痛疗效甚佳。
加强专科专病建设,为患者提供精细化服务。随着医学科学的发展,医疗技术不断提高,使得医疗越来越走向专科化,专病化。我科在2017年12月开始在院领导的大力支持下,在徐州市率先开展三级学科划分,将原来的大骨科细化为关节科,脊柱科及创伤科,并在此基础上进行专病建设,建立了肩痛,腰痛,骨髓炎,眩晕,膝骨关节炎,股骨头坏死,骨不连等专病。专病专科明确了主要服务方向、病种,在为患者提供直观的选择导向的同时,容易让患者有针对性地长期认准和信赖某位专病专科医师,特别是具有中医优势,或中西医结合优势的专病专科的医师。随着我院专病专科建设的不断深入,专病专科特色明显,逐渐形成了中医,中西医结合诊疗的突出优势,促进了各专科的发展,使各专科在原来基础上对本专科的疾病,更加精细化治疗和管理,促进了科室发展,提高医院声誉。
hth登录官网骨伤科在注重中医传统治疗的同时,兼顾手术的发展,在外科手术微创化的时代,中医院骨伤科也走出特色的微创之路。关节科开展关节镜下微创肩袖撕裂修补,冻结肩松解,肩关节撞击症肩峰下减压术,膝关节交叉韧带损伤重建,半月板损伤修补等手术,避免大切口、大创伤、恢复快。脊柱科采用椎间孔镜等脊柱微创手段实施各种脊柱微创手术。UBE技术(单边双通道内镜下的脊柱手术及微创镜下融合技术)、脊柱内镜下ULBD技术(单侧椎板入路双侧椎管减压手术及微创镜下融合技术)及MI-PCF技术(Key-hole技术,内镜下颈椎后路椎间孔开孔)。创伤科运用微创手术技术治疗骨折,包括:四肢长骨骨折的交锁髓内固定技术、MIPPO(微创经皮钢板内固定技术)、股骨近端骨折髓内固定技术(PFNA)、外固定支架固定技术等等均达国内先进水平。
在微创的同时,骨伤科积极扩大传统开放手术。关节科系统开展膝关节骨性关节炎的阶梯治疗方案,早期采用中医中药、理疗、肌力训练等方法;中期采用膝关节周围截骨、单髁置换等手术治疗,充分保留膝关节功能,术后患者康复快。终末期采用膝关节表面置换术治疗。系统开展股骨头无菌性坏死的保头治疗,使坏死股骨头重新获得新生。常规开展复杂的人工髋膝关节置换手术、人工髋膝关节翻修手术。创伤科运用DCO理念,阶梯序贯抢救及治疗严重骨盆骨折、多发性、开放性重大骨折创伤;常规开展复杂骨盆髋臼骨折、手足显微外科的手术治疗。脊柱科开展各种复杂的颈椎病、腰椎间盘突出症、腰椎管狭窄症、腰椎滑脱、脊柱畸形的手术治疗和上颈椎手术。
在繁忙的临床工作基础上,骨伤科注重人才及科研的提升。注重实习进修及规培学生的培养工作。在DRG付费改革形式下,我科会更加规范诊疗行为,规范服务流程,促进医疗治疗进步,走中医特色之路,走微创手术之路。为患者提供更为贴心、热心、细心的优质专业的医疗服务。
特色医疗技术
中医特色优势技术
中医特色优势技术包括手法、中药及特色器具综合治疗颈椎病、腰间盘突出症、腰椎退变性疾病的阶梯治疗、股骨头坏死的系列治疗、膝关节骨性关节炎的阶梯治疗;手法复位小夹板治疗儿童肱骨髁上骨折、尺桡骨骨折、桡骨远端骨折等及各部位关节脱位。中药制剂“生肌膏”被录入非物质文化遗产。自主研制的骨伤科中药制剂如脊椎病方、腰椎间盘突出症方、骨性关节炎方、滑膜炎方、骨质疏松症方、骨折早中后期方、股骨头坏死方、金黄膏散、活血膏、活血消肿膏、接骨甲乙丹等拥有很高的社会认可度。
手法复位小夹板固定治疗骨折
优点:免于开刀之苦。
金黄膏外敷治疗滑膜炎
优点:避免长期运用西药带来的副作用。疗效显著。
中药薰药治疗骨性关节炎
优点:有效缓解早期骨性关节炎的肿痛症状。
祛腐生肌膏治疗各种创伤伴感染、皮肤缺损、褥疮、糖尿病足、手术后伤口不愈合、局部深度烧伤、骨髓炎等。
优点:填补西药治疗本病之空白。
西医特色优势技术
脊柱专科
脊柱专科有主任医师2名,副主任医师5名,博士4名,现每年开展300台各类脊柱手术,其中颈椎手术60余例,腰椎手术240余例;椎间孔镜下髓核摘除180例。
能广泛开展颈胸腰骶椎各入路手术。脊椎人工椎体置换、上颈椎入路手术、颈椎及腰椎微创手术、脊柱畸形矫形手术、脊柱结核病灶刮出术、脊椎肿瘤切除术等。
开设:颈腰痛门诊;腰椎间盘突出症微创治疗门诊;椎间盘突出微创治疗中心;脊柱脊髓病中西医结合门诊。
专科特色:
1、手术高水平:能完成各种复杂的颈椎病、腰椎间盘突出症、腰椎管狭窄症、腰椎滑脱、脊柱畸形的手术治疗和上颈椎手术、脊柱肿瘤、胸椎置换等高难度手术,技术理念和手术方法先进,积累了丰富而独特的经验,手术技术达到淮海经济区先进水平。
2、脊柱手术微创化理念:采用椎间孔镜等脊柱微创手段实施各种脊柱微创手术。治愈了大量的腰间盘突出症、腰椎管狭窄症、颈椎病患者。采用PVP、PKP术治愈了大量高龄脊柱压缩性骨折患者,近年来累计完成4000例该微创手术。60%的脊柱病人可以进行微创手术,具有创伤小、效果好、安全性高、恢复快、术后不需长期卧床等特点。微创手术保持极高的优良率与可靠性。脊柱微创技术居于淮海经济区先进水平。我院在淮海经济区率先开展颈椎微创手术。
3、中医有特色:运用中药内服、外用中药熏蒸、自治中药敷贴、多维位颈腰椎牵引、推拿、针灸等治疗颈椎病、腰椎间盘突出症、腰肌劳损等疾病,治愈了大量患者,使众多患者无需手术即解除病痛。
腰椎后路减压融合固定术治疗腰椎不稳定
优点:腰椎手术的金标准,彻底,稳定,不易复发。
椎间孔镜微创术治疗腰椎间盘突出症
优点:损伤小、恢复快。
颈椎前路减压融合内固定术治疗脊髓型颈椎病
优点:直接减压,彻底解决突出问题,稳定。
颈椎后开门Arch钛板固定术治疗颈椎后纵韧带骨化症
优点:减压范围广,疗效缺切,保留颈椎的活动度。
经皮穿刺椎体成形术
优点:微创,迅速解决老年骨质疏松性骨质疼痛。
寰枢椎固定融合术治疗颅底凹陷、齿状突骨折等
特点:手术风险高。
关节专科
关节专科现有主任医师4名,副主任医师1名,主治医师1名,硕士4名。在股骨头坏死、髋臼发育不良、髋关节骨性关节炎、股骨髋臼撞击综合症、膝关节骨性关节炎、类风湿性关节炎、强直性脊柱炎合并髋关节强直、股骨颈骨折、膝关节运动损伤、肩关节运动损伤、足踝损伤和畸形等骨关节疾病的中西医结合治疗方面独具特色。
手术技术上与国内领先医院接轨,并不断创新。系统开展膝关节骨性关节炎的阶梯治疗方案,早期采用中医中药、理疗、肌力训练等方法;中期采用膝关节周围截骨、单髁置换等手术治疗,充分保留膝关节功能,术后患者康复快。终末期采用膝关节表面置换术治疗。系统开展股骨头无菌性坏死的保头治疗,早期可采用中医中药内服,钻孔减压术治疗,中期可采用髋关节外科脱位技术,充分刮除头内坏死骨,植入新鲜骨质,使坏死股骨头重新获得新生。常规开展复杂的人工髋膝关节置换手术、人工髋膝关节翻修手术。术后采用先进的康复理念和康复方案帮助患者在无痛状态下恢复关节功能。
另外,微创成为我院关节科的一大亮点,膝关节周围截骨术,单髁置换术都是微创手术,患者创伤小,恢复快。我院关节科采用直接前路微创髋关节置换术,切口小,只有8-10cm,顺肌间隙进入,不切断任何肌肉,出血少,无痛,关节脱位率低,术后康复快。关节镜下微创肩袖撕裂修补,冻结肩松解,肩关节撞击症肩峰下减压术,膝关节交叉韧带损伤修补等手术,避免大切口、大创伤、恢复快。
中医特色优势:严格规范运用祖国医学理论,采用理法方药、辨证施治指导骨关节疾病的治疗,中药内服或外用全程参与关节围手术治疗,极大地提高了关节手术的疗效。自制中药内服制剂如骨性关节炎方、风湿及类风湿关节炎方、强直性脊柱炎方、滑膜炎方、关节各部位损伤方治疗相关关节病。中药外用制剂金黄膏外敷治疗滑膜炎、活血膏治疗寒性骨关节病、活血消肿膏治疗关节外伤性肿痛、接骨甲乙丹治疗关节部位骨折、中药外熏洗剂治疗陈旧性足踝关节损伤、中药涂擦贴服溻渍离子导入治疗关节疼痛等。中医推拿针灸及康复等治疗各部位关节疾病及关节术后功能障碍等。
专科特色:
全膝关节表面置换术治疗重度骨性关节炎、全髋关节置换术治疗晚期股骨头坏死、先天性髋关节发育不良、股骨颈骨折。微创钻孔减压、腓骨移植、髋关节外科脱位大转子截骨技术治疗股骨头坏死。直接前路微创髋关节置换术。膝关节周围截骨术、单髁置换术阶梯治疗膝关节骨性关节炎。人工反置式肩关节置换术治疗巨大肩袖损伤;关节镜下微创肩袖撕裂修补术,肩峰下减压术及肩关节脱位的手术。髋膝关节置换术后翻修术。
开设:肩肘痛门诊;股骨头坏死门诊;髋膝关节痛门诊;足踝痛门诊。
全膝表面置换术治疗重度骨关节病
优点:疗效可靠,膝关节病的最终解决方案。

单髁置换术治疗单间室骨关节病
优点:损伤小、康复快、可早期下床。
关节镜下肩袖损伤修复术治疗肩袖损伤
优点:损伤小、恢复快。
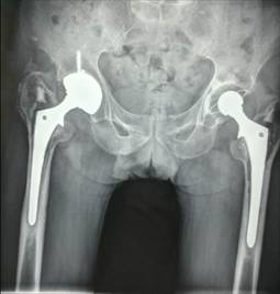
全髋关节置换术治疗股骨头坏死
优点:手术成熟,疗效确切。
微创直接前方入路髋关节置换
优点:不切断任何肌肉,无痛,损伤小,可早下床。
胫骨高位截骨治疗膝关节骨关节炎
优点:创伤小,疗效确切,适合生活方式活跃的年轻患者。
髋关节外科脱位技术治疗股骨头无菌性坏死
优点:直接去除坏死骨质,植入新鲜骨,治愈率高。
关节镜下微创治疗胫骨平台髁间嵴骨折
优点:创伤小,康复快。
反肩置换术治疗重度肩袖损伤、肱骨头坏死等
优点:关节外科领先技术。
术前术后对比
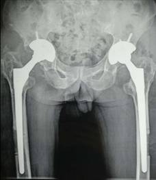
全膝关节翻修术

术前术后对比
全髋关节翻修术
创伤专科
创伤专科现有主任医师2名,副主任医师2名,主治医师2人,硕士4名。
专科特色:
西医手术先进全面:运用DCO理念,阶梯序贯抢救及治疗严重骨盆骨折、多发性、开放性重大骨折创伤;常规开展复杂骨盆髋臼骨折、手足显微外科的手术治疗;以最先进的生物学固定理念为指导,运用微创手术技术治疗骨折,包括:四肢长骨骨折的交锁髓内固定技术、MIPPO(微创经皮钢板内固定技术)、股骨近端骨折髓内固定技术(PFNA)、外固定支架固定技术等等均达国内先进水平。
中医骨伤特色明显:包括特色复位手法、传统夹板传承并革新;中药经验方药内服、外敷及离子导入疗法、中药水浴、熏蒸以及骨折后康复治疗等等可有效促进骨折愈合、治疗骨不连;吊兜悬吊牵引结合功能锻炼保守胸腰椎压缩性骨折;骨髓炎广泛开窗换药+外固定支架技术、感染骨段切除骨延长技术治疗,结合中医药辩证治疗等。
骨盆骨折合并内脏损伤诊疗、老年髋部骨折手术治疗、复杂开放性骨折合并血管神经损伤术、慢性骨髓炎根治手术、开放性骨折术、神经血管损伤术、骨与软组织缺损手术、断肢断指再植术及多种复合皮瓣修复肢体复杂创面等。
开设:骨创伤专科门诊;中医正骨门诊;骨质疏松门诊;骨关节病专科。
闭合复位经皮PFNA、intertan内固定术治疗股骨转子间骨折
优点:创伤外科常规开展,出血少、损伤小、疗效显著。
长柄双动股骨头置换术治疗老年股骨转子间骨折
优点:可以早期下床。
经皮椎体成形术(PKP、PVP)治疗老年骨质疏松性骨折
优点:损伤小、见效快、安全性高。可以早期下床。


经皮微创置钉治疗胸腰椎骨折
优点:创伤小,恢复快。
微创治疗肱骨干骨折
优点:闭合复位,不干扰骨折断端,中心固定,利于愈合。
专家介绍
杨六中 骨伤科主任 主任医师 教授 院名中医
江苏省骨科专业委员会常务委员,徐州市骨科专业委员会副主任委员。学术研究方向,中西医结合治疗骨与关节损伤。髋及膝关节病的中西结合治疗。技术特长,骨折的手法复位及中医小夹板固定,髋关节及膝关节置换及翻修。研究课题三项。发表论文二十余篇。研制生肌膏,接骨膏,活血消肿膏治疗骨折及创伤效果好。其中祛腐生肌膏被纳入江苏省非物质文化遗产名录。专家门诊时间:周三、周六上午。
刘诗荣 骨伤科副主任 主任医师 教授 医学硕士 院名中医
技术特长:擅长中西医诊治骨折、脱位、筋伤及颈肩腰腿痛等骨伤科疾病。主攻方向:各种原因如退变、感染、风湿、类风湿、肿瘤、先后天畸形等导致的骨关节疾病的中西医结合诊疗。常规开展全髋全膝及单髁置换术治疗股骨头坏死、高龄股骨颈骨折、先髋、膝关节炎,髋膝关节置换术后翻修术。科学制定股骨头坏死、先髋、膝关节炎的保髋保膝阶梯化治疗方案如髋臼截骨术、股骨远端截骨术、髋外科脱位下病灶刮除植骨术及胫骨近端截骨术等,同时对各种骨关节病全程参与中医药辩证施治,倡导建立关节骨科“术后无痛化快速康复病房”管理模式。对股骨头坏死和骨质疏松症的中西医结合治疗有较深入的研究,获省级科研成果证书一项、市科技成果二等奖一项。省首批获得人工椎体植入和人工关节置换准入资格专家、连续三届省中西医结合骨伤专委会副主任委员、执业医师资格考试考官库成员、医学鉴定专家库成员、医学科普巡讲师。专家门诊时间:周二全天,周三上午。
陈继平 骨伤科副主任 主任医师 教授
徐州市医疗事故鉴定专家。对骨科常见病、多发病、疑难病及各种骨关节疾病的诊断及治疗有丰富的临床经验。尤其对人工关节置换术的理论基础和手术操作具有独特的见解和技巧,对于股骨头坏死、退行性骨关节病(骨性关节炎)、类风湿性关节炎、强直性脊柱炎所致关节畸形、髋关节发育不良、大骨节病等关节疾病,有丰富的诊疗经验。独立完成膝、髋、肩、踝等各大关节的初次置换手术及各种原因造成膝、髋置换术后失败的翻修手术,主刀完成各种关节置换及翻修手术近千例。目前致力于膝关节骨关节炎的保膝及股骨头坏死的保头治疗。专家门诊时间:周一全天。
管旭日 脊柱专科主任 主任医师 教授 医学硕士
中国骨伤人才学会委员。市医疗鉴定专家成员。擅长骨科脊柱、关节病及创伤的诊疗。技术特长:中西结合治疗颈性头痛头晕、脊柱骨折、脊髓损伤(包括陈旧性)、脊柱不稳滑脱、脊柱畸形、颈椎病、椎间盘突出症、骨质疏松、脊柱结核、肿瘤、感染颇有心得。研究方向:脊柱疑难病诊治,骨科微创治疗。科研及论文:淮海经济区最早引进并开展TESSYS椎间孔镜微创技术治疗椎间盘突出症专家,在市内处于领先地位。获得院新技术三等奖(第一完成人)。骨科手术及脊柱内镜诊疗学主编(吉林科学技术出版社),微创骨科学组委员和微创脊柱外科学组委员,论文发表论文近20篇。专家门诊时间:周二、四全天。
沈金虎 创伤专科主任 主任医师 教授 医学硕士
全国中西医结合创伤专业委员会委员,徐州市足踝外科专业委员会委员,徐州医学会医疗事故技术鉴定和医疗损害鉴定专家库成员。擅长治疗复杂严重的多发伤复合伤,利用MIPPO技术治疗复杂的四肢长骨干及关节周围骨折、骨盆及髋臼骨折;慢性骨髓炎、骨肿瘤和骨缺损的修复重建;熟练利用腓肠神经营养皮瓣修复足踝部皮肤缺损;熟练掌握骨质疏松症的诊断及治疗,利用微创技术治疗老年髋部骨折、胸腰椎骨质疏松性病理骨折。主持市级课题1项,参与国家自然基金课题1项,省级课题2项。专家门诊时间:每周一、四全天。
时超 主任医师 教授 院名中医
徐州市医学会足踝外科副组委,徐州市医疗事故鉴定专家。对骨科常见病、多发病、疑难病及各种骨关节疾病的诊断及治疗有丰富的临床经验。尤其对人工关节置换术的理论基础和手术操作具有独特的见解和技巧,对于股骨头坏死、退行性骨关节病(骨性关节炎)、类风湿性关节炎、强直性脊柱炎、髋关节发育不良、大骨节病等关节疾病,有丰富的诊疗经验。目前研究膝关节骨关节炎的阶梯治疗。专家门诊时间:周五全天。
惠正广 关节专科主任 主任医师 教授 医学硕士
江苏省医学会物理医学与康复医学骨关节康复学组委员,江苏省中西医结合学会脊柱学组委员,徐州市医学会足踝学组副组长,市医疗事故鉴定专家库成员。致力于膝关节阶梯疗法的研究,膝关节骨性关节炎的早期治疗,应用膝关节周围截骨技术治疗膝关节骨性关节炎。致力于股骨头坏死及髋臼发育不良的保髋治疗,获徐州市科技局新技术引进奖1项,擅长肩关节疼痛的诊断及关节镜下治疗肩袖损伤和肩关节撞击症、膝关节前后交叉韧带损伤的关节镜下重建、骨质疏松症的中西医结合治疗,复杂创伤的治疗,颈腰椎疾病的治疗。专家门诊时间:周四全天。
张磊 医疗组长 主任中医师 教授 医学博士
中国残疾人康复协会委员。对于脊柱疾病如腰椎间盘突出症、颈椎病等有着深入研究和丰富的临床经验。擅长各种复杂颈肩痛、腰腿痛的保守治疗和手术治疗。尤其擅长腰椎间盘突出症的椎间孔镜微创治疗,开展了大量腰椎微创手术,并去取得了满意疗效。近年来将手术经验完善总结,并在核心期刊发病论文5篇。专家门诊时间:每周一、周四全天。
李朝顶 副主任医师 副教授 医学博士
多年从事骨科临床与骨科疾病的临床研究工作。主要从事脊柱脊髓损伤、脊柱退变性疾病和骨科创伤的临床治疗与研究。目前正致力于脊柱微创治疗、四肢骨折的微创治疗和开放手术治疗,及颈、胸、腰椎的内镜手术治疗,脊柱骨折的微创治疗和四肢骨折的微创治疗。共发表论文43篇,其中SCI论文3篇,核心期刊论文[见红字]35篇,临床教学研究论文5篇。主持省级以上科研项目[名称]4项、市级课题1项,参编(译)骨科学专著2部。此外,参与了国家自然科学基金重点课题3项。荣获徐州市科技局新技术引进奖1项。专家门诊时间:周三、周五。
谭亮 主任中医师 教授 医学硕士
徐州市医学会足踝外科委员,工作于南京中医药大学附属hth登录官网关节外科,南京中医药大学讲师。在西安交通大学附属红会医院进修学习。对骨科常见病、多发病及各种骨关节疾病的诊断及治疗有丰富的临床经验。尤其对人工关节置换术的理论基础和手术操作具有独特的见解和技巧,对于股骨头坏死、退行性骨关节病(骨性关节炎)、类风湿性关节炎,髋关节发育不良、肩关节周围病等关节疾病,有丰富的诊疗经验。参与多项省市级课题,在国家期刊发表论文数片。临床工作中深受患者好评。
护理团队简介
hth登录官网骨伤科护理团队成立于2002年,经过十几年的不懈努力,现已发展成为淮海经济区最大的中西医结合骨伤科诊疗护理中心。骨伤科现有护理人员29名,其中副主任护师2名,主管护师10名,护师14名,护士3名,本科学历27名,专科学历2名。护理队伍专业素质高,技术好,具有正规、系统的专科护理常规及专科的护理管理体系,多次获得《优质护理服务先进科室》。
护理团队承担着创伤、脊柱、关节等骨科全面护理工作,配合医疗成功的开展了创伤急救护理,人工髋关节置换手术护理,人工膝关节置换手术的护理,骨质疏松护理、颈肩痛和腰腿痛病人的护理,关节损伤病人的护理等各种护理,为患者提供了安全、高效、优质的护理服务。团队发扬“以人为本、以病人为中心、为患者健康服务”的宗旨,营造了有爱心、有耐心、有责任心的护士新形象。同时坚持护理工作三贴近∶贴近病人、贴近临床、贴近社会。团队具有积极进取,发展骨伤科护理专业的精神。
骨伤科护理突出传统中医护理特色治疗,根据不同病症的病人实施辨证施护,中医特色护理技术疗效显著。中药熏蒸治疗、中药塌渍联合热奄包和离子导入治疗、中药外敷治疗,耳穴压贴、穴位贴敷等,在颈肩腰腿痛、风寒湿痹、关节肿痛、骨质增生、神经痛、骨折、围手术期患者中广泛使用,深受患者好评。
骨科中药外敷常用膏剂
1、金黄膏(寒性——热证)
2、活血消肿膏(偏凉)
3、活血膏(由接骨甲丹和接骨乙丹按照不同比例配成。1:1/1:2)
接骨甲丹
接骨乙丹
4、接骨膏
5、祛腐生肌膏